佳学基因遗传病基因检测机构排名,三甲医院的选择

热门搜索
  • 癫痫
  • 精神分裂症
  • 鱼鳞病
  • 白癜风
  • 唇腭裂
  • 多指并指
  • 特发性震颤
  • 白化病
  • 色素失禁症
  • 狐臭
  • 斜视
  • 视网膜色素变性
  • 脊髓小脑萎缩
  • 软骨发育不全
  • 血友病

客服电话

在线咨询

CONSULTATION

一键分享

CLICK SHARING

返回顶部

BACK TO TOP

分享基因科技,实现人人健康!
×
查病因,阻遗传,哪里干?佳学基因准确有效服务好! 靶向用药怎么搞,佳学基因测基因,优化疗效 风险基因哪里测,佳学基因
当前位置:    

【佳学基因检测】肾脏癌靶向药物基因检测(Kidney Cancer)

【佳学基因检测】肾脏癌靶向药物基因检测(Kidney Cancer)


【佳学基因检测】肾脏癌靶向药物基因检测(Kidney Cancer)


肿瘤靶向药物基因检测导读:

癌症的精准治疗需要以基因解码结果为基础。 肾癌的基因解码表明,肾细胞癌 (RCC) 是指起源于肾上皮细胞的癌症,它占所有肾脏癌症的 90% 以上。肾细胞癌包括超过 10 种组织学和分子亚型,其中透明细胞肾细胞癌(RCC)(ccRCC) 最常见,是大多数癌症相关死亡的原因。虽然体细胞VHL突变与肾细胞癌的关系已经得到了详细的研究,采用基因解码技术所进行的癌症基因组解码又确定了表观遗传学调控基因的突变,并揭示了不同患者之间显着存在肿瘤内异质性。肿瘤基因解码认为这具有重要的预后、预测和治疗价值。局部肾细胞癌(RCC)可以通过手术成功治疗,而转移性肾细胞癌(RCC)采用常规化学疗法难以治疗。但是,从2010年算起的十年中,转移性肾细胞癌(RCC)的治疗取得了显着进展,靶向药物包括索拉非尼、舒尼替尼、贝伐珠单抗、帕唑帕尼和抑制血管内皮生长因子(VEGF)及其受体(VEGFR)的阿西替尼以及依维莫司和替西罗莫司, 抑制 mTOR 复合物1, 已经被批准用于临床中。自 2015 年以来,除了 VEGFR 之外,还有其他靶点的药物获得批准,例如卡博替尼和乐伐替尼;nivolumab 等免疫疗法也已添加到转移性肾细胞癌(RCC)的治疗药物中。佳学基因检测通过《肾脏癌靶向药物基因检测(Kidney Cancer)》,讲述了肾细胞癌(RCC)的分子生物学,重点是 ccRCC,以及更新以补充当前的临床指南,并概述了肾细胞癌(RCC)研究和治疗的潜在未来方向。
 

肾脏癌及其靶向药物治疗基因检测的基础

肾细胞癌 (RCC) 是一组源自肾小管上皮细胞的异质性肿瘤,是全球 10 种最常见的癌症之一。在过去二十年中,RCC 的基因解码组织病理学和分子表征方面的重要进展变革了肾细胞癌诊断及其分类。发病率≥5% 的主要亚型是透明细胞肾细胞癌(RCC)(ccRCC) 、乳头状肾细胞癌(RCC)(pRCC) 和嫌色细胞肾细胞癌(RCC)(chRCC)  (如图1). 其余亚型非常罕见(每种亚型的总发病率≤1%),如果肿瘤不符合任何亚型诊断标准,则将其指定为未分类 RCC(uRCC,总发病率约为 4%)。ccRCC 是最常见的亚型,占肾癌死亡的大部分,是佳学基因肿瘤基因检测及基因解码的重点。实际上,由于透明细胞组织学在转移性疾病中占主导地位 (83–88% ) ,出于临床试验的可行性,具有非透明细胞组织学的肿瘤已被归类为“nccRCC”, 表1) 。此外,基因解码在肾细胞癌基因组研究揭示了 ccRCC 肿瘤内和肿瘤间异质性的明显复杂性,这可能导致临床试验所产生的结果的差异性。

【佳学基因检测】肾脏癌靶向药物基因检测(Kidney Cancer)
 

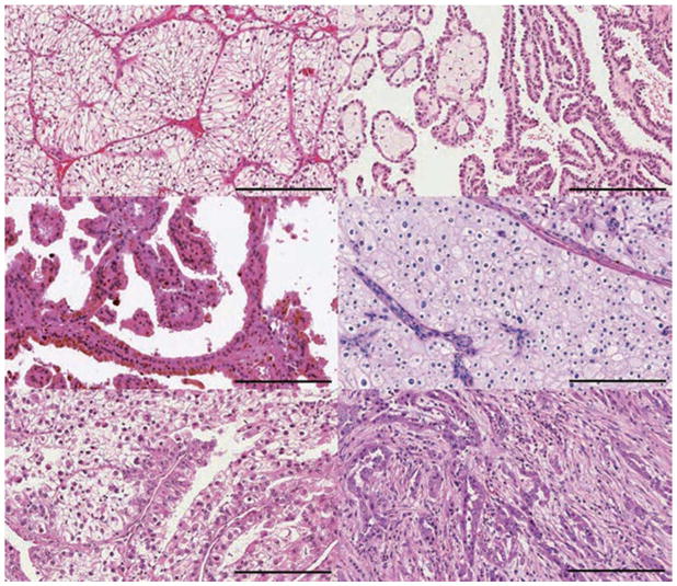
图1:RCC 的不同亚型

大约 75% 的肾细胞癌 (RCC) 是: a、| 透明细胞肾细胞癌(RCC)(ccRCC)。b、 | 乳头状肾细胞癌(RCC)约占所有肾癌的 15%,根据染色特征分为两种类型:b | 1 型(嗜碱性)和 c | 2 型(嗜酸性)。d | 嫌色细胞肾细胞癌(RCC)约占肾肿瘤的 5%。其他次要亚型包括 e | MiT 家族易位肾细胞癌(RCC)和 f | 集合管 RCC。其他次要亚型包括髓质 RCC、透明细胞乳头状 RCC、获得性囊性病变相关 RCC、肾小管囊性 RCC、粘液性管状和纺锤体 RCC、琥珀酸脱氢酶缺陷型 RCC、遗传性平滑肌瘤病、肾细胞癌相关肾细胞癌(RCC)和嗜酸细胞瘤。不属于这些类别的肿瘤被指定为未分类 RCC。比例尺 = 200 微米。
 

表1:非透明细胞肾细胞癌

肿瘤类型 亚型 细胞遗传学改变 基因突变 大体外观 组织学特征*  
乳头状  1型 7、8q、12q、16p、17、20 的获得和 9p 的损失 MET • 囊性/实性混合
• 颜色通常呈白色,可能出现出血和坏死
• 常有界限清楚的假包膜
• 单层立方体肿瘤细胞
• 薄的嗜碱性乳头,细胞质稀少,核分级低
• 同心层状钙化(砂粒体)
• 泡沫状巨噬细胞浸润
 2型 8q 的增益,1p 和 9p 的损失 CDKN2A
SETD2
NRF2
• 异质性、厚乳突和嗜酸性细胞质、高核分级和假复层
• 同心层状钙化
• 泡沫状巨噬细胞浸润
嫌色体 经典的 1、2、6、10、13、17 和 21 号染色体丢失 TP53
PTEN
• 大而边界清楚的灰色至棕褐色肿瘤
• 偶见中央疤痕
• 肿瘤细胞具有突出的细胞膜和苍白的细胞质
• 大量细胞质(酸性粘多糖的细胞质积聚)
嗜酸性 • 具有细嗜酸性颗粒的大肿瘤细胞
• 明显的细胞边界
• 大量细胞质
MiT家族易位 NA 涉及 Xp11.2 ( TFE3 ) 或 6p21 ( TFEB )的反复易位 TFE3
TFEB
• 淡黄色组织
• 常有出血和坏死
• 乳头状或巢状结构
• 丰富的透明或嗜酸性细胞质
收集管 NA 8p、16p、1p、9p 丢失,13q 获得 未知 • 部分囊性
• 白灰色外观
• 经常表现出侵入肾窦
• 管状乳头状
• 通常细胞呈柱状,呈鞋钉状
• 存在粘液性物质
• 促纤维增生性间质
髓质 NA 描述不佳,但被认为是正常的核型 SMARCB1 • 棕褐色/白色外观
• 界限不清
• 包膜
• 大面积出血和坏死
• 分化差的嗜酸性细胞
• 炎性浸润细胞
• 片状或网状结构常见
嗜酸细胞瘤 NA 1 号染色体和 Y 染色体丢失以及 CCND1 重排 线粒体基因 ( COX1 , COX2 , ND4和CYTB ) • 桃花心木色
• 局限性
• 中央偶尔有疤痕
• 很少有坏死
• 具有丰富嗜酸性细胞质的多边形细胞
• 均匀、圆形的细胞核

NA,不适用。

*目前没有关于非透明细胞肾细胞癌免疫浸润的共识。
 

局限性肾细胞癌(RCC)可以通过部分或根治性肾切除术(去除肾脏)、消融术(用热或冷破坏恶性组织)或主动监测(通过定期透视检查监测肿瘤生长)来治疗。尽管以治愈为目的进行了肾切除术,但约 30% 的局限性 ccRCC 患者最终会发生转移,这需要全身治疗并与高死亡率相关。已经开发出针对血管内皮生长因子 (VEGF) 和 mTOR 通路的靶向治疗,但治疗反应各不相同,大多数患者最终会进展。然而,对转移性 ccRCC 的基因组和分子理解的增加促成了美国和欧盟前所未有的药物批准数量(目前批准了 12 种具有六种不同有效作用机制的药物)。在佳学基因肾脏癌的靶向药物治疗中,基因解码介绍了这些新批准的药物以及研发这些药物背后的 ccRCC 生物学的主要进展。此外,佳学基因肿瘤基因检测基因解码还提出了基于基因组学的信息进行肿瘤风险和治疗分层的方法和标准,并介绍为未来设计个性化临床管理计划铺平道路的治疗顺序和组合。

肾脏癌基因检测的大数据分析

肾脏癌的发病率

肾癌约占全球所有癌症诊断和癌症死亡的 2%,发达国家的发病率普遍较高(如图2)。全世界每年诊断出约 295,000 例新肾癌病例,每年死亡病例为 134,000 例。肾癌每年在美国造成约 63,000 例新病例和约 14,000 例死亡,在欧洲约有 84,000 例新病例和约 35,000 例死亡。男性比女性受影响更大(新诊断的比例为 2:1)。
【佳学基因检测】肾脏癌靶向药物基因检测(Kidney Cancer)

图 2:全球肾癌发病率

2012 年两性的年龄标准化发病率 (ASR) 估计值(每 100,000 人)。发达国家的发病率普遍较高,捷克共和国的发病率最高(原因不明)。来自 GLOBOCAN 数据库的数据;

美国监测、流行病学和最终结果 (SEER) 数据库中肾细胞癌(RCC)患者的中位年龄为 64 岁,呈接近正态分布。因此,当肾细胞癌(RCC)在较年轻的年龄( ≤46岁,代表年龄分布的最低十分位数)被诊断时,潜在的遗传性肾癌综合征的可能性 — 占所有肾细胞癌(RCC)的 3–5%  —应该被考虑 (表 2) 。
 

表 2:与肾细胞癌相关的遗传综合征

综合征(表型 MIM 参考) 基因(位置) 蛋白质 发生肾肿瘤的发生率 (%) 诊断时的中位年龄(岁) 其他表型特征
透明细胞肾细胞癌*
冯·希佩尔·林道病 (193300) VHL (3p25–26) pVHL 25–45 40 • 血管母细胞瘤
• 胰腺神经内分泌肿瘤
• 嗜铬细胞瘤
• 肾囊肿
• 胰腺囊肿
• 卵巢囊腺瘤
• 附睾囊腺瘤
BAP1突变疾病 (614327) BAP1 (3p21) BRCA相关蛋白 没有数据 没有数据 • 乳腺癌
• 葡萄膜黑色素瘤
• 间皮瘤
• 其他皮肤黑色素细胞肿瘤
SDH 相关肾癌(185470、602413、602690 和 115310) SDHB (1p36)、SDHC (1q21) 和SDHD (11q23) 琥珀酸脱氢酶亚基 B、C 和 D 5–15 30 • 副神经节瘤
• 颈动脉体瘤
• 嗜铬细胞瘤
• 胃肠道间质瘤 GIST
乳头状肾细胞癌
遗传性平滑肌瘤病和肾细胞癌 (150800) ‡ FH (1q43) 富马酸水合酶 2–21 46 • 子宫平滑肌肉瘤
• 乳腺癌
• 膀胱癌
• 皮肤平滑肌瘤
• 子宫平滑肌瘤
遗传性乳头状肾癌 (605074) § 遇见(7q31) 肝细胞生长因子受体 没有数据 <60 • 无附加功能
多种肿瘤类型
Birt-Hogg-Dubé 综合征 (135150) || FLCN (17p11.2) 卵泡素 34 50 • 纤维毛囊瘤和毛盘瘤
• 肺囊肿
• 气胸
结节性硬化症(191100 和 191092) TSC1 (9q34) 和TSC2 (16p13) 金缕梅和马铃薯 2–4 30 • 室管膜下巨细胞星形细胞瘤
•血管平滑肌脂肪瘤
• 肾囊肿
• 面部血管纤维瘤
• 指甲和指甲周围纤维瘤 • 黑色素
减少斑、前额斑块
• 心肌横纹肌瘤
• 结缔组织痣
考登综合征(多发性错构瘤综合征;158350)# PTEN (10q23) PTEN 34 40 • 乳腺癌
• 子宫内膜癌
• 甲状腺癌
• 前列腺癌
•巨头畸形
• 肠错构瘤性息肉
• 良性皮肤肿瘤(多发性毛细血管瘤、乳头状丘疹和肢端角化病)
• 小脑发育不良性神经节细胞瘤
甲状旁腺功能亢进颌骨肿瘤综合征 (145001) ** HRPT2 (1q31) 副纤维蛋白 没有数据 没有数据 • 甲状旁腺癌
• 子宫癌
• 肾囊肿和错构瘤
• 甲状旁腺功能亢进症
• 甲状旁腺肿瘤
• 颌骨纤维瘤
*伴有 3 号染色体易位的家族性透明细胞肾癌是另一种可能与透明细胞肾细胞癌相关的综合征,但遗传病变和相关数据尚不清楚。
‡ 2 型乳头状肾细胞癌。
§ 1 型乳头状肾细胞癌。
|| 混合肿瘤;嗜酸细胞瘤; 和嫌色细胞癌、乳头状和透明细胞肾细胞癌。血管平滑肌脂肪瘤、上皮样血管平滑肌脂肪瘤、肾囊肿、嗜酸细胞瘤以及乳头状和透明细胞肾细胞癌。
#透明细胞、乳头状和有色细胞肾细胞癌。
**混合肿瘤(上皮和结缔组织)、乳头状肾细胞癌和肾母细胞瘤。MIM,人类数据库中的孟德尔遗传。


RCC 的发病率在捷克共和国最高,在 2003-2007 年期间,年龄标准化的年新发病例率为每 100,000 名男性和女性分别有 22.1 例和 9.9 例。波罗的海和东欧国家的发病率也很高,尽管这种高发病率的原因尚不清楚。总体而言,大多数人群的发病率一直在增加,但死亡率自 1990 年代以来趋于平稳或正在下降。这种发病率上升和死亡率下降的不同模式在发达国家尤为明显。例如,SEER 数据库中的分析表明,RCC 发病率的增加仅限于小的局部肿瘤,这可能至少部分是由于越来越频繁地偶然检测到,不太可能由于腹部成像的使用增加而发生转移。全球肥胖患病率的增加(已确定的肾细胞癌(RCC)危险因素)也可能在发病率增加中发挥作用,并影响临床结果。

肾脏癌基因检测所揭示的风险因素

RCC 发病率随着年龄的增长而显着增加,并且男性高于女性。在美国,发病率因种族而异,美国原住民、阿拉斯加原住民和非裔美国人的发病率最高,亚裔美国人和太平洋岛民后裔的发病率最低。RCC 的主要确定风险因素包括超重、高血压和吸烟,在美国的一项研究中,这些因素占所有诊断病例的大约一半。在流行病学研究中与肾细胞癌(RCC)相关的其他医学状况包括慢性肾病、血液透析、肾移植、获得性肾囊性病变、既往肾细胞癌(RCC)诊断以及可能的糖尿病。许多生活方式、饮食、职业和环境因素也与肾细胞癌(RCC)相关,证据水平各不相同。

例如,关于红肉消费与肾细胞癌(RCC)风险之间的关联存在相互矛盾的报告。适度饮酒(每天≥11 克)似乎可以降低肾细胞癌(RCC)的风险。在一项关于体力活动和肾细胞癌(RCC)风险的病例对照研究中,发现了风险的反向趋势,作者得出结论,9% 的肾细胞癌(RCC)病例可以通过增加体力活动来避免。然而,反向关联可能涉及其他混杂因素,例如 BMI 和社会阶层相关因素。其他研究没有发现这种反向关联。

遗传因素也会导致肾细胞癌(RCC)风险,具有肾癌家族史的个体的风险增加大约两倍。对家族性肾细胞癌(RCC)的调查发现了至少 11 个基因(即BAP1、FLCN、FH、MET、PTEN、SDHB、SDHC、SDHD、TSC1、TSC2和VHL)的突变,其中一些基因也与散发性肾细胞癌(RCC)的发展有关。一个值得注意的例子是VHL,它是 von Hippel-Lindau 病的突变基因,其特征是患 ccRCC 的风险很高; VHL 蛋白的失活导致致癌缺氧诱导因子(HIF-1 和 HIF-2)的表达不受控制,这也是散发性 ccRCC 肿瘤的标志。迄今为止,RCC 的全基因组关联研究 (GWAS) 已在染色体区域 2p21、2q22.3、8q24.21、11q13.3、12p11.23 和 12q24.31 上确定了六个易感位点。2p21 基因座映射到EPAS1,一个编码 HIF-2α 亚基的基因,而 11q13.3 基因座的生物学效应似乎可归因于CCND1(编码细胞周期蛋白 D1,参与细胞周期调节)调节的变化。基因座 12p11.23 可能映射到BHLHE41(编码基本螺旋-环-螺旋家族成员 e41,被认为在调节昼夜节律中起作用)的变化。其他 GWAS 易感位点的疾病基因尚未确定。

肾脏发生的致病基因鉴定基因解码

肾脏癌的致病基因及其影响的体内生物功能

在 ccRCC 中,VHL抑癌基因是最常发生突变的基因,它通过遗传(点突变、插入缺失和 3p25 丢失)和/或表观遗传(启动子甲基化)机制完全丢失构成了最早的癌驱动事件。VHL 是 E3 连接酶复合物的底物识别组分,泛素化 HIF-1α 和 HIF-2α 以实现蛋白酶体介导的降解。因此,尽管组织微环境氧合充足,但 VHL 缺失会导致 HIF 蛋白异常积累,进而导致调节血管生成、糖酵解和细胞凋亡的 HIF 靶基因不受控制地激活(如图3)。因此,人类 ccRCC 肿瘤富含脂质和糖原,并且富含血管- 这就是为什么主要抑制 VEGF 及其受体 VEGFR 的药物是转移性 ccRCC 的有效治疗方法的原因。然而,单独的VHL丢失不足以诱导 ccRCC,如携带VHL种系突变以发展 ccRCC的个体的长潜伏期(> 30 年)和观察到的小鼠Vhl丢失无法诱导 ccRCC所证明的。这些结果表明,ccRCC 的发展可能需要额外的遗传和/或表观遗传事件。

【佳学基因检测】肾脏癌靶向药物基因检测(Kidney Cancer)
 

图 3:ccRCC 中的VHL失活及其在靶向治疗中的意义

VHL丢失是透明细胞肾细胞癌 (ccRCC) 最常见的遗传特征。它的缺失减轻了细胞对缺氧诱导因子 (HIF) 的负调节,这导致 HIF 靶基因表达增加,随后细胞代谢和信号发生变化,从而增强细胞存活。例如,血管内皮生长因子 (VEGF) 表达增加会增加血管生成,这与肿瘤微环境中内皮细胞生长因子受体(包括成纤维细胞生长因子 (FGF) 和肝细胞生长因子 (HGF))的信号传导增加相一致。总的来说,这些变化为治疗药物提供了阻碍肿瘤生长的靶标,如图所示。FGFR、FGF受体VEGFR、VEGF;TSC,结节性硬化症;PI3K,磷脂酰肌醇 4,5-二磷酸 3-激酶;AKT, RAC-α 丝氨酸/苏氨酸蛋白激酶;Rheb,GTP 结合蛋白 Rheb;mTORC1,mTOR 复合物 1;mTORC2,mTOR 复合物 2;S6K1,核糖体蛋白 S6 激酶;4EBP1,真核翻译起始因子4E结合蛋白1;HRE,HIF 反应元件;MET,肝细胞生长因子受体。
 

为了识别这些事件,肾脏癌的基因解码开展了大规模的癌症基因组项目,并揭示了 ccRCC 中几种新的流行突变,包括PBRM1(占肿瘤样本的 29-41%)、SETD2(占肿瘤样本的 8-12%)、BAP1(占肿瘤样本的 6-10 %)、KDM5C ( 4–7%) 和MTOR ( 5–6%) 。有趣的是,PBRM1、SETD2和BAP1编码染色质和组蛋白调节蛋白,位于 3p21 并作为肿瘤抑制因子发挥作用。作为VHL位于 3p25,3 号染色体短臂 (3p) 的单个拷贝丢失将导致这四个肿瘤抑制基因的单倍体不足,证实了 3p 丢失(即杂合性丢失)几乎是 ccRCC 中的普遍事件并构成早期遗传事件。相比之下, ccRCC 中的MTOR突变通常是错义和功能激活,这可以解释 mTOR 通路抑制剂(包括依维莫司和替西罗莫司)有效的原因。

个体突变及其相互作用如何促进发病机制及其作为 ccRCC 预后或预测生物标志物的价值在很大程度上是未知的。尽管如此,一些研究已经证明了值得未来验证的有趣的临床相关性。由于 VHL 失活是 ccRCC 的基础事件,其突变状态对临床结果没有影响,而参与疾病进展的突变如PBRM1、SETD2和BAP1以及KDM5C(也参与染色质修饰)显示与侵袭性临床特征相关。含有PBRM1 的小肾肿块突变与 III 期病理特征相关,而BAP1突变与较大的肿瘤、较高的 Fuhrman 核分级(大核和突出的核仁)和较严重的癌症相关-具体生存率。有趣的是,BAP1和PBRM1或KDM5C中的突变似乎在 ccRCC 中互斥发生,提供了 ccRCC 的分子亚分类。此外,KDM5C的突变,位于 Xp.11,主要在男性患者中检测到,并且与舒尼替尼的长期治疗益处相关;SETD2和突变与无复发生存率降低相关。
 

肿瘤异质性和癌症进化

正如 Nowell 在 40 年前首次描述的那样,肿瘤内的遗传多样性被认为提供了选择作用的基质,使肿瘤能够在癌症的自然病程中适应新的微环境压力和代谢需求(如图4A). 这种遗传多样性已在 ccRCC 中得到广泛研究。例如,在一项对四名患有多发性肿瘤的 ccRCC 患者进行多区域遗传分析的研究中,发现VHL突变和 3p 杂合性丢失是所有取样区域中普遍存在的事件。相比之下,常见的驱动程序事件,如SETD2、PBRM1、MTOR、PIK3CA 、 PTEN和KDM5C突变在原发肿瘤和转移部位异质性地存在——在一些区域而不是其他区域。这种遗传特征使构建肿瘤系统发育成为可能,进化树的“主干”描绘了在每个肿瘤细胞中存在的最近共同祖先 (MRCA) 中发现的突变。在一些亚克隆中发现了“分支”突变,但在其他亚克隆中没有发现;这些突变可能在整个肿瘤区域分布,占据原发肿瘤内不同的区域生态位或疾病原发部位和转移部位之间的不同生态位。

【佳学基因检测】肾脏癌靶向药物基因检测(Kidney Cancer)
 

图 4:ccRCC 中的癌症演变和肿瘤异质性

尽管VHL突变和 3p 杂合性丢失是所有透明细胞肾细胞癌 (ccRCC) 细胞中明显的早期事件,无论肿瘤样本的区域如何,常见的驱动突变(例如,SETD2、MTOR和KDM5C突变)存在异质性——提示肿瘤的亚克隆进化。a | 癌症亚克隆起源于最近的共同祖先细胞 (MRCA),其中正常细胞获得成为癌细胞的所有功能能力。b | 基因组异质性可由突变的顺序、平行积累引起,从而导致 ccRCC 的异质性和进化。在此示例中,“R”代表原发肿瘤的基因组特征,“M”代表转移部位的基因组特征,并相应编号。后天获得的主要遗传病变VHL不同样本中的突变特征,并在分支上表示。c | 然而,一些证据表明肿瘤可以通过平行进化的方式聚合。在这里,一个假设的串珠河模型描述了SETD2和KDM5C突变通过不同时空不同的遗传事件的连续收敛。

此外,还观察到平行进化,亚克隆中反复发生的分支改变影响相同的基因、信号转导通路或蛋白质复合物(如图4B). 在某些情况下——例如BAP1、PBRM1和SETD2突变——这种反复出现但截然不同的改变可以很容易地解释为肿瘤进化过程中的“第二次打击”事件。在其他情况下,平行进化表明存在相当大的选择压力来破坏相同的信号通路或蛋白质复合物。此外,在ccRCC的几项研究中已经注意到遗传特征的趋同,基因突变发生在不同的时间点,但会导致相似的整体基因组和表型特征;一个“辫状河”模型被设想来说明这种现象(如图4C)。无论采用何种方式,对 8 名患者的 ccRCC 样本进行的后续研究证明了分支进化的证据,其中发现 73-75% 的驱动改变是亚克隆。

多区域肿瘤分析表明,在 ccRCC 中进化轨迹受到显着限制的有趣可能性,随着我们对微环境、治疗和宿主选择压力的了解的增加,可以使进化路线可预测,因此在治疗上易于处理。例如,已经表明,对 mTOR 抑制反应良好的患者在 mTOR 通路的组件中存在反复出现的区域分离畸变。此外,一些亚克隆改变可能涉及克隆选择所必需的细胞间变异的启动和维持。例如,SETD2功能丧失已被证明会损害核小体压缩、微型染色体维护复合物组件 7 (MCM7) 功能和 DNA 聚合酶 delta 加载到染色质,从而导致 DNA 复制叉进展受损。此外,未能加载晶状体上皮衍生生长因子 p75 剪接变体 (LEDGF) 和 DNA 修复蛋白 RAD51 同系物 1 (RAD51)——它们参与 DNA 断裂修复——在SETD2丢失时也被观察到,导致同源重组修复缺陷。 因此,这些事件是 ccRCC 中合理的基因组生物标志物,分散在每个肿瘤的不同区域生态位中。
 

免疫浸润和肿瘤微环境

除了遗传改变之外,ccRCC 的基因表达、代谢和免疫学分析也产生了重要的机制和临床见解。其中,鉴于免疫检查点阻断疗法在这种疾病中的兴起,ccRCC 的免疫浸润特征可能越来越受到关注。值得注意的是,在癌症基因组图谱研究计划检查的 19 种癌症类型中,ccRCC 的 T 细胞浸润评分最高。此外,ccRCC 中较高的核级别和阶段与 T 辅助细胞 2 和 T 调节细胞浸润的增加相关。

疾病模型

尽管肾细胞癌(RCC)细胞系已用于机制研究,但患者体内的ccRCC 肿瘤血管丰富——体外细胞研究无法概括这一特征。此外,此类细胞系在传代过程中可以获得额外的遗传和/或表观遗传变化,因此体外药物筛选不会产生特定的、可转化的见解。然而,当这些细胞系被皮下注射到实验室动物体内时,异种移植肿瘤在很大程度上对抗 VEGF 治疗有反应并且可用于研究耐药机制。

最近,已经建立了患者来源的异种移植 (PDX) 模型,并已证明可以概括患者记录的对靶向治疗的临床反应,这可用于临床前药物试验。与此同时,开发真正反映人类 ccRCC 基因组学和形态学的小鼠模型的努力受到以下事实的阻碍,即小鼠Vhl基因的纯合失活不会导致 ccRCC 。然而,在人类 ccRCC 中发现了额外的复发性普遍突变,重新点燃了生成此类模型的努力。例如,Vhl和Pbrm1的纯合缺失在小鼠模型中导致多灶性、富含脂质、富含糖原、可移植的 ccRCC。有趣的是,小鼠模型中Vhl和Bap1的纯合缺失导致早期致死率(<1 个月),并且一些携带 Vhl 纯合缺失和Bap1杂合缺失的小鼠(在一组 7 只小鼠中)形成了肿瘤微结节(0.25-1.8mm ) 肿瘤发病率和分子特征未知。总体而言,RCC 的动物模型目前有限,但正在热切追求。

 

诊断、筛查和预防

诊断

从历史上看,患者在出现侧腹痛、肉眼血尿和可触及的腹部肿块后被诊断为 RCC。如今,大多数诊断都是偶然发现的。这种转变是非侵入性放射技术广泛使用的结果,例如出于其他原因进行的超声检查或腹部 CT 成像。也就是说,副肿瘤综合征——由肿瘤细胞分泌的激素或细胞因子或针对肿瘤的免疫反应引起的症状——在 RCC中并不少见,症状包括高钙血症、发烧和红细胞增多症。大多数这些症状通常在肿瘤切除后得到逆转. 尽管肾细胞癌(RCC)可以显示可变的影像学表现 ,但通常通过影像学检查强烈怀疑诊断。ccRCC 的典型放射学特征包括外生(向外)生长、瘤内坏死或出血导致的异质性以及造影剂的高摄取。

分期

RCC的分期反映了肿瘤大小、肾外浸润程度、淋巴结受累情况以及肿瘤是否转移(如图5)。最佳分期需要胸部、腹腔和骨盆的增强 CT 成像。这种成像能够评估原发性肿瘤(大小以及肿瘤是否局限于器官或延伸至肾周脂肪或肾门)、区域扩散(淋巴结受累)和远处转移(肺、骨和远处淋巴结)。MRI 还可以提供额外的信息,特别是确定肿瘤是否延伸到脉管系统(腔静脉瘤栓)。骨扫描、F-氟脱氧葡萄糖 PET 和脑部成像未系统推荐用于初始分期。 预后评估需要进一步的实验室检测,包括但不限于血红蛋白、白细胞和血小板计数;血清校正钙水平;和乳酸脱氢酶水平。

【佳学基因检测】肾脏癌靶向药物基因检测(Kidney Cancer)
 

图 5:肾癌的分期和推荐的治疗方法

肾细胞癌 (RCC) 的分期基于大小、位置和淋巴结受累。例如,I 期或 II 期肿瘤完全包围在肾脏中。III 期肿瘤可延伸至 Gerota 筋膜(包裹肾脏和肾上腺的结缔组织层)内的主要静脉或肾上腺,或可累及一个区域淋巴结。IV 期肿瘤可侵入 Gerota 筋膜以外和/或发生远处转移。*在 2005 年开始引入更新的靶向治疗之前,IV 期肾细胞癌(RCC)的 5 年生存率 <10%。治疗主要由分期指导. 例如,适合手术的 I 期肾细胞癌推荐行肾部分切除术。然而,根治性肾切除术也是一种选择;对于老年患者或因合并症而无法接受手术的患者,建议进行主动监测或消融治疗。在 III 期肾细胞癌(RCC)患者中,对于临床淋巴结肿大的患者,建议进行根治性肾切除术和淋巴结清扫术,但对于疾病广泛且体能状态不佳的患者,全身治疗可能是唯一可用的选择。
 

基因组意义

≤46 岁的发病年龄增加了遗传综合征的可能性(表 2) 并且,根据美国临床肿瘤学会的说法,应该引发对遗传咨询的考虑,并且在建立基因检测指南时可以作为一个有用的截止年龄。事实上,了解与肾细胞癌(RCC)相关的非肾脏恶性肿瘤和非肿瘤特征对于医生识别遗传性综合征很重要。此外,目前正在为这些与癌症易感性综合征相关的不同肾细胞癌(RCC)开发由潜在生物学驱动的特定治疗方案。确认后,携带突变的患者及其家属将接受专门的监测和治疗计划,以最大限度地降低发病率并防止死亡。

组织病理学证实

通过肾核心活检或部分或根治性肾切除术标本获得恶性肿瘤的组织病理学确认。建议在进行消融治疗之前(对于那些不能选择手术的患者)或在开始全身治疗之前(对于那些有转移性疾病的患者)进行初始活检。2016 年,WHO 对肾细胞癌(RCC)分类进行了更新之前(2004 年)WHO和国际泌尿病理学会 (ISUP) 共识会议(2013) 系统。虽然大多数肾细胞癌(RCC)可以很容易地根据组织学标准进行分类,但一些肿瘤会造成诊断问题,因为它们显示出不同亚型特征的组合。例如,透明细胞的存在并不是 ccRCC 独有的,但可以在 pRCC、chRCC 和 MiT 家族易位肾细胞癌(RCC)(tRCC) 中观察到。同样,pRCC 的特征性乳头状结构也可存在于其他类型的肾细胞癌(RCC)中。在具有挑战性的病例中,仔细评估细胞学特征、生长模式、免疫表型和遗传改变通常可以做出正确的诊断。然而,RCC 的一个子集 (~4%) 不能分配给任何特定类别,因为它们要么呈现组合形态,要么显示不寻常的特征,因此被指定为uRCC。然而,最近对 62 例侵袭性 uRCC 的分子特征揭示了不同的子集,包括NF2丢失 (26%)、mTORC1 通路激活 (21%) 以及染色质和 DNA 损伤调节剂的突变 (21%) 。

肉眼观察,ccRCC肿瘤切面呈金黄色,常有出血、坏死和囊性区域。在显微镜下,ccRCC 通常由具有透明细胞质的肿瘤细胞组成,这些肿瘤细胞排列成巢状或小管状,周围环绕着丰富的血管网络。细胞质的清晰外观是由于糖原和脂质的积累。可以观察到具有颗粒状嗜酸性细胞质的不同比例的肿瘤细胞,在某些情况下,这些细胞构成了整个肿瘤块。ccRCC 最广泛使用的分级系统是 Fuhrman 分级系统,它定义了四个核等级 (1-4),按照核大小、不规则性和核仁突起的增加顺序。Fuhrman 核级已被证明在 ccRCC 中具有预后价值。

应该注意的是,所有肾细胞癌(RCC)类型都可以包含高级别恶性梭形细胞(即肉瘤样分化)的病灶。因此,肉瘤样肾细胞癌(RCC)不再被视为一个实体,而是任何肾细胞癌(RCC)类型的进展。值得注意的是,最近来自测序匹配的肉瘤和癌性肾细胞癌(RCC)的基因组见解表明TP53和CDKN2A突变富集,暗示这些遗传缺陷是肾细胞癌(RCC)中肉瘤样分化的根本原因。

肾脏癌基因检测筛查

由于肾细胞癌(RCC)的发病率相对较低,普遍筛查(例如针对无症状显微血尿的筛查)尚未证明对肾细胞癌(RCC)的结局有积极影响。此外,其他生物标志物尚未确定用于筛选。成像仍然是肾细胞癌(RCC)检测和筛查的主要工具。一项针对 45,905 名参与者的超声筛查研究报告称,与有症状的患者相比,无癌生存率提高的普通人群的肾细胞癌(RCC)发病率比预期高 10 倍。

虽然大多数病例是散发性的,但大多数肾细胞癌(RCC)患者可能具有遗传易感性。尽管尚无关于选择患者进行种系突变检测的指南,但已有指南可用于监测那些确诊为会增加肾细胞癌(RCC)风险的遗传性综合征的患者。

肾脏癌基因检测后,如何预防?

吸烟、肥胖和高血压与患肾细胞癌(RCC)的风险增加有关,而运动和适度饮酒和类黄酮可降低肾细胞癌(RCC)风险。

烟草

与从不吸烟者相比,曾吸烟者的相对风险为 1.38 (95%CI=1.27–1.50),该荟萃分析包括来自 5 项队列研究的 8,032 例病例和 13,800 例对照。发现男性和女性的风险都呈剂量依赖性增加;与戒烟时间 <10 年的人相比,戒烟时间 >10 年的人风险较低。其他研究已证实吸烟是肾细胞癌(RCC)的一个危险因素。

肥胖


发现体重指数 (BMI) 每增加5 kg/m 2与肾细胞癌(RCC)密切相关。同样,据报道,成年早期和中期(18-35 岁)的体重增加与肾细胞癌(RCC)之间存在很强的关联。此外,中心性肥胖(相对风险 1.8,95%CI 1.2–2.5)和腰臀比 (0.86–2.88) 与女性肾细胞癌(RCC)呈正相关。还在 1,975 名接受靶向药物治疗的患者中研究了 BMI 对总生存期的影响。作者报告说,高 BMI 患者的中位总生存期为 25.6 个月 (95%CI 23.2-28.6),而低 BMI 患者的中位总生存期为 17.1 个月 (95%CI 15.5-18.5)(调整后的风险比为 0.84,95%CI) 0.73–0.95) 。与体重稳定相比,体重稳定增加或体重减轻均与肾细胞癌(RCC)风险显着相关。

高血压和药物


较高的 BMI 和高血压被独立证明会增加男性肾细胞癌(RCC)的长期风险,而血压降低会降低风险。五分之一的研究发现使用阿司匹林与肾细胞癌(RCC)风险增加相关;相比之下,扑热息痛(对乙酰氨基酚)暴露没有增加风险。非那西丁 (acetophenetidin) 暴露的作用尚无定论。根据《药物指导基因检测》,在一项大型分析 ( n = 483,733) 中,他汀类药物可显着降低肾细胞癌(RCC)的风险,风险降低 48%(调整后的比值比 0.52,95%CI 0.45–0.60)。然而,由于散发性和低频性,目前的指南不支持经验性治疗在一般人群中预防肾细胞癌(RCC)的作用;应更密切地监测患有遗传性综合症的患者,并给予相应的治疗。

 

肾脏癌基因检测与靶向药物治疗

对于可手术切除的肾细胞癌(RCC)患者,标准治疗是通过部分或根治性肾切除术进行手术切除,以达到治愈目的。相比之下,那些患有不能手术或转移性肾细胞癌(RCC)的患者通常会接受靶向药物和/或免疫检查点抑制剂的全身治疗。决定哪种治疗主要由各种列线图指导。例如,UCLA Integrated Staging System (UISS) 和 Stage Size Grade and Necrosis (SSIGN) 评分整合了临床(1997 TNM 分期)和病理(Fuhrman 核分级)信息来推荐临床随访的长度和频率以及选择用于辅助研究的高危患者。 同样,已经确定、验证和采用关键预后因素来指导转移性肾细胞癌(RCC)患者进行全身治疗并对其进行分层,包括体能状态、从诊断到全身治疗的时间以及血红蛋白、中性粒细胞、血小板、钙和乳酸脱氢酶的血液水平。

外科手术

RCC的手术治疗与疾病的临床分期和患者的一般情况有关(如图5)。虽然通常保留用于局部疾病,但部分和根治性肾切除术也可用于转移性疾病患者的细胞减灭术。事实上,证明这种方法益处的随机对照试验 (RCT) 可以追溯到 1990 年代,当时基于细胞因子的疗法在全身治疗领域占据主导地位。此外,虽然大多数纳入靶向治疗随机对照试验的患者也接受了减瘤性肾切除术,但目前原发肿瘤切除术在这些患者中的作用尚未得到验证。然而,根据主要的国际指南,如果原发部位有大量疾病但转移性疾病负担很低,许多中心会提供细胞减灭性肾切除术

肾部分切除术

 

肾部分切除术的目标是完全切除原发肿瘤,同时保留尽可能多的健康肾实质。部分肾切除术适用于 T1 期肿瘤(根据国际癌症控制联盟 TNM 分期系统)和正常对侧肾脏(选择性适应症)的患者。此外,对于只有一个肾脏(解剖学上或功能上)的肾细胞癌(RCC)患者、双侧同时性肾细胞癌(RCC)患者和 von Hippel-Lindau 综合征患者,强烈建议进行部分肾切除术(强制性绝对适应症)。同样,必要的相对适应症包括可能损害肾功能的情况(例如,肾结石、高血压、糖尿病和肾盂肾炎)。事实上,部分肾切除术可降低肾功能损伤和 T1 肿瘤患者中与根治性肾切除术相比等效的肿瘤学生存结果。更有争议的是部分肾切除术对总生存率的有利影响。因为传统观点认为,就肿瘤学结果而言,切除整个肾脏更好。在这种情况下,手术可行性仍然是影响最终决策过程的主要因素。

在过去的十年中,已经提出肾测量评分系统来预测肾部分切除手术的复杂性,并根据解剖学和地形图肿瘤特征预测围手术期结果(表3)。RENAL 和 PADUA 肾脏测量系统仍然是最流行和最常用的术前肿瘤分类工具。这些第一代系统以及 Centrality Index 系统主要考虑与肿瘤相关的解剖参数,包括面部位置(即前部或后部面部,分别根据肾筋膜前层或后层的覆盖情况) )、纵向极性位置、边缘位置(即肿瘤位于肾脏的外侧或内侧边缘)、肿瘤扩展到实质的程度、肾窦受累、上尿路集合系统受累和临床最大直径肿瘤。临床研究表明,这种肾测量系统能够预测接受部分肾切除术的患者的出血风险和术后并发症。因此,它们代表了根据外科医生的经验为患者提供咨询和选择理想的肾部分切除术候选人的有效工具。第二代肾脏测量系统,如直径-轴向-极地系统、带状 NePhRo 评分系统和基于动脉的复杂性系统,在引入临床实践之前,应与第一代系统进行外部验证和直接测试。

表3:用于预测部分肾切除术复杂性和结果的肾脏测量评分系统

比浊法系统 包含的参数 结果预测 外部验证
肾肾测量法 肿瘤大小
外生率
极性位置
肾窦受累
UCS 受累
面部位置
失血
热缺血时间
UCS 病变
总体并发症
功能结果
良性或恶性肿瘤
肿瘤分级
是的
帕多瓦分类 肿瘤大小
外生率
极性位置
边缘位置
肾窦受累
UCS 受累
面部位置
失血
缺血时间
UCS 病变
总体并发症
功能结果
是的
中心性指数 肿瘤半径
肿瘤深度(水平和垂直距离)
缺血时间
功能结果
是的
直径-轴向-极坐标系 直径
轴距
极距
失血
缺血时间
功能结果
带状 NePhRo 评分系统 邻近度
物理区域
肿瘤半径 肿瘤
组织
围手术期并发症
基于动脉的复杂性评分系统 需要解剖或横切肾动脉分支的大小以实现肾肿瘤的完全切除 缺血时间
尿瘘

UCS,上部收集系统。

腹腔镜肾部分切除术 (LPN) 和机器人辅助肾部分切除术 (RAPN) 是经典开放式肾部分切除术 (OPN) 的主要替代方法。然而,RAPN 和 OPN 更适合处理更复杂的病例(基于专家意见)。相反,LPN 应保留用于没有根据肾脏测量系统定义的复杂特征(低或中等风险类别)的患者的小肿瘤(通常大小≤4 cm)。可用的荟萃分析表明,RAPN 提供与 LPN 相同的围手术期结果,但热缺血时间明显更短。此外,在围手术期并发症、估计失血量和住院时间方面,RAPN 似乎明显优于 OPN。相反,两种方法的输血率、缺血时间、估计的肾小球滤过率变化和早期癌症结果相似。国际指南建议根据外科医生和患者的偏好使用这两种方法。

最后,部分肾切除术还可以涉及简单的摘除术——完全保留肿瘤周围的健康实质。或者,经典的核切除术,即去除一薄层健康实质,或极部或楔形切除术,即对健康实质进行更广泛的切除,也是可行的选择。肾部分切除术后最小的无肿瘤手术切缘似乎适合避免局部复发风险增加。无论使用何种手术技术,1-6% 的病例报告为阳性手术切缘。血尿、肾周血肿和尿瘘是肾部分切除术最常见的并发症。较少见的术后并发症可表现为急性肾功能损害和感染。

 

根治性肾切除术

 

经典的根治性肾切除术包括去除肾脏、肾周脂肪组织、肾上腺和区域淋巴结。但对于肿瘤≤5cm、位于下极的患者,肾上腺可免除。类似地,区域淋巴结清扫术可保留给通过 CT 或在手术过程中检测到临床阳性淋巴结的患者。对于多个小肾肿瘤的病例,如果肿瘤延伸到脉管系统并且可以是腹腔镜或开放手术,则可以考虑根治性肾切除术(如图6)对于。大多数 I 期和 II 期肿瘤患者,目前采用传统的腹腔镜方法进行根治性肾切除术;开放式方法仍然是处理更复杂案件的黄金标准。在有经验的人手中,机器人辅助方法可以代表静脉癌栓病例中开放手术的潜在替代方法。

  【佳学基因检测】肾脏癌靶向药物基因检测(Kidney Cancer)
图 6:根治性肾切除术的指征

a: | 对于多个小肾肿瘤(圆圈)的病例,可以考虑根治性肾切除术。b: | 相反,根治性肾切除术和上下文切除肿瘤血栓进入肾静脉或腔静脉癌栓是静脉受累患者的金标准治疗。

最近从美国国家癌症数据库中提取的数据支持在转移性疾病患者中使用减瘤性肾切除术,即使他们正在接受全身靶向治疗。事实上,细胞减灭性肾切除术病例的中位总生存期为 17.1 个月,而非细胞减灭性肾切除术组为 7.7 个月。

主动监测和消融治疗

主动监测和消融技术(例如冷冻疗法或射频消融术)是老年患者和/或具有相互竞争的健康风险和有限预期寿命从而不适合手术的患者的替代策略。

主动监测的明确方案尚未确定。最常见的方法包括在第一年每 3​​ 个月一次、第二年每 6 个月一次和此后每年一次的超声成像和 CT 或 MRI 之间交替。应考虑对生长 >3-4 厘米或每年生长 >0.4-0.5 厘米进行干预。美国小肾脏肿块延迟干预和监测 (DISSRM) 登记数据显示,在经过长达 5 年的前瞻性随访的精心挑选的患者队列中,主动监测在以下方面并不劣于初级干预总体生存率和癌症特异性生存率。

消融技术必须能够完全摧毁所有存活的肿瘤组织,不留任何存活肿瘤区域。冷冻疗法和射频消融术都可以在 CT 或超声引导下使用腹腔镜或经皮方法进行。病例系列的荟萃分析显示冷冻消融和射频消融的疗效分别为 89% 和 90% ;并发症发生率分别为 20% 和 19%。现有的低质量研究表明,与肾部分切除术相比,消融治疗的局部复发率更高。

医疗管理

在过去的 10 年里,许多靶向治疗药物和一种免疫治疗药物被批准用于治疗转移性 RCC(如图7)。然而,在手术后的辅助设置中,情况不太清楚,一项比较舒尼替尼与索拉非尼与安慰剂的随机试验 (ASSURE) 显示,就无病生存率而言,这两种药物治疗均无益处。值得注意的是,最近一项关于辅助治疗的研究报告称,与 S-TRAC 试验中的观察结果相比,舒尼替尼治疗 1 年的无病生存获益。许多其他辅助靶向治疗试验(如 PROTECT 和 SORCE)已完成应计,并将在未来 12 个月内报告结果。

  【佳学基因检测】肾脏癌靶向药物基因检测(Kidney Cancer)
图 7:四个不同时代转移性 ccRCC 的治疗进展和生存结果

a: | 2004 年之前,有两种药物可用于治疗 RCC(中位生存期约为 15 个月)。在这个所谓的治疗黑暗时代之后是现代时代(2005-2014 年),另外七种治疗方案获得批准(将中位生存期提高至约 30 个月)。目前,黄金时代已经见证了三种药物的问世,预计未来十年会有更多药物问世。b: | 这些进步有望转化为大量患者 (~50%) 到 2025 年在主动监测下实现持久缓解,中位生存期为~5 年。最终目标是未来药物批准的钻石时代是 >80% 的转移性 ccRCC 患者长期生存。虚线代表预测的存活率。

靶向治疗


鉴于肾细胞癌(RCC)的高度血管特性,有几种疗法可用于利用这一特征也就不足为奇了。实际上,美国和欧盟批准用于转移性肾细胞癌(RCC)一线和二线治疗的靶向 VEGF 信号轴的酪氨酸激酶抑制剂有索拉非尼、舒尼替尼、帕唑帕尼、阿西替尼、乐伐替尼和卡博替尼除了乐伐替尼与依维莫司的组合外,所有批准都是作为单一药物;此外,抗 VEGF 单克隆抗体贝伐珠单抗被批准与干扰素-α 一起使用。从广义上讲,舒尼替尼、帕唑帕尼以及贝伐单抗和干扰素-α的组合被批准为一线选择,而阿西替尼和卡博替尼被批准用于二线。mTOR 抑制剂依维莫司和替西罗莫司被批准作为单药用于风险状态较差的患者的二线和一线。事实上,可以说转移性肾细胞癌(RCC)一线全身治疗的里程碑式试验是 2007 年报告的舒尼替尼与干扰素-α 的 3 期研究,其中报告了舒尼替尼在反应率、无进展和总生存期方面的优势。该试验将舒尼替尼确定为治疗标准,该药物仍然是所有目前招募的新药 3 期研究的比较药物。

尽管付出了巨大的努力,但仍没有可用于选择患者进行特定治疗的临床可用标记。因此,这些药物的平均疾病控制持续时间在一线设置中为 8-9 个月,在二线设置中为 5-6 个月。大多数导致批准这些药物的 3 期 RCT 都排除了 nccRCC 患者(方框 1),因此该证据基础主要与 ccRCC 相关。此外,在没有主要毒性的情况下连续给予所有这些药物直至疾病进展。此外,随机对照试验尚未报告替代方案,例如那些选择性地长时间中断治疗的方案。

佳学基因检测基础知识库:nccRCC 管理的局限性

从手术管理的角度来看,非透明细胞组织学的存在很少对治疗产生影响,事实上,组织学亚型在术前往往是未知的。由于过去 10 年的靶向药物注册试验普遍排除了非透明细胞组织学,因此可用于指导非透明细胞肾细胞癌 (nccRCC) 医疗管理的数据有限。重要的是,归类为 nccRCC 的肿瘤根本不同;没有理由认为对乳头状肾细胞癌(RCC)有效的疗法对嫌色细胞癌或任何其他肾癌亚型也有效。尽管如此,一些试验已经进行并广泛确立舒尼替尼作为 nccRCC 中合理的一线选择,尽管疗效低于透明细胞肾癌 (ccRCC)。大多数转移性 nccRCC 患者接受批准用于 ccRCC 的靶向药物治疗,数据显示 VEGF 抑制剂优于 mTORC1 抑制剂。 不幸的是,尽管进行了全身治疗,大多数 nccRCC 患者仍会在 18 个月内死于疾病,并且目前没有关于使用检查点抑制剂治疗 nccRCC 的证据基础。令人鼓舞的是,最近的一项 2 期试验报告称,依维莫司加贝伐珠单抗作为一种有效的组合治疗肿瘤显示乳头状特征的 nccRCC 患者,实现了 43% 的总体缓解率和 12.9 个月的中位无进展生存期。可以说,依维莫司加贝伐珠单抗应被视为在显示主要乳头状形态的罕见肾细胞癌(RCC)亚型(I 型和 II 型乳头状 RCC,以及具有乳头状特征的未分类 RCC)试验中的比较组。总的来说,取得的进展令人鼓舞,但专门针对亚型定制的药物疗法仍未得到满足。由专家和患者倡导者建立的 rarekidneycancer.org 等倡议是鼓励罕见肾癌患者、nccRCC 专业医生和试验者之间快速沟通的重要步骤。

 

免疫疗法


自 1990 年代以来,增强抗肿瘤免疫活性的细胞因子(例如干扰素-α 和高剂量 IL-2)已被用于治疗转移性 RCC,并且是引入舒尼替尼之前的标准治疗。这两种药物通常仅使一小部分患者受益(通常是那些具有内在有利疾病生物学的患者)并且与显着毒性相关,特别是在高剂量 IL-2 的情况下。许多研究目前正在研究抗 VEGF 疗法与 T 细胞免疫检查点抑制剂形式的新一代免疫治疗药物的组合,例如针对程序性细胞死亡蛋白 1 配体 1 (PDL1) 的抗体,包括 avelumab 和 atezolizumab,和针对程序性细胞死亡蛋白 1 (PD1) 的抗体,包括纳武单抗和派姆单抗)。PD1负向调节T细胞功能及其配体PDL1在癌细胞中高表达;因此,阻断 PD1-PDL1 轴可促进 T 细胞活化和免疫杀死癌症。 ) 是 nivolumab 和 ipilimumab,一种 T 细胞检查点细胞毒性 T 淋巴细胞相关蛋白 4 (CTLA-4) 的抑制剂。CTLA-4 还下调 T 细胞功能;这些抗体对它的抑制促进了 T 细胞的活化。

在 Checkmate 025 随机对照试验显示与依维莫司相比,在先前使用舒尼替尼和帕唑帕尼治疗失败的患者中,纳武利尤单抗在美国和欧盟获得批准。然而,纳武利尤单抗的反应率仅为 25%(依维莫司为 5%),而且大多数接受治疗的患者并未经历明显的肿瘤缩小。尽管这些检查点抑制剂显示出希望,但预测反应很困难。例如,在 Checkmate 025 中,PDL1 表达与反应无关,正如在其他癌症类型的其他试验中所报道的那样。这种观察的原因尚不清楚,但 PD-L1 表达在空间和时间上是动态的,来自 Checkmate 025 中使用的原发性肿瘤的贮存样本(石蜡包埋)材料可能不能代表转移性肿瘤部位的 PD-L1 表达。

最后,与依维莫司相比,nivolumab 具有良好的耐受性。此外,可以将 nivolumab(以及其他抗 PD1 或抗 PDL1 疗法)与“清洁”(即更特异、毒性更小且更易于组合)抗 VEGF 疗法(如阿昔替尼和贝伐珠单抗)相结合,导致转移性肾细胞癌(RCC)中此类组合的多项 3 期研究。

 

生活质量

生活质量和患者报告的结果已成为评估肾细胞癌(RCC)患者治疗策略的重要方式。不良事件是重要的考虑因素,这些总结在表 4. 尽管生存等肿瘤学结果更为客观,但已经开发出经过验证的生活质量测量方法来帮助评估患者体验。

表 4:获批药物的部分不良事件和生活质量

改善生活质量?
药品 不良事件 参考
阿昔替尼 高血压、腹泻、甲状腺功能减退症和手足综合征 是与索拉非尼  
贝伐单抗 蛋白尿、高血压和出血 未报告  
卡博替尼 腹泻、手足综合征、高血压、恶心和甲状腺功能减退症 未报告  
依维莫司 口腔炎、高胆固醇血症、高血糖症和肺炎 没有与安慰剂  
纳武单抗 结肠炎、肺炎和内分泌疾病 是与依维莫司  
帕唑帕尼 腹泻、高血压、肝功能检查异常和手足综合征 No 对比安慰剂,Yes 对比舒尼替尼  
索拉非尼 高血压、腹泻、手足综合征和皮疹 是与安慰剂  
舒尼替尼 腹泻、手足综合征、粘膜炎和高血压 是与 IFN  
替西罗莫司 口腔炎、高血糖、高胆固醇血症和水肿 是与 IFN  

对于局部 RCC,进行了一项系统评价,其中包括来自 29 项研究的数据,这些研究包括随机和非随机研究。它指出,无论采用何种方法或技术,部分肾切除术后的生活质量结果均优于根治性肾切除术。有趣的是,没有充分的证据表明与肾切除术相比,冷冻疗法或射频消融术具有更好的生活质量结果。

对于转移性 RCC,生活质量指标变得更加重要,因为治疗通常是姑息性的,患者不断地平衡生活质量与数量。一种名为癌症治疗功能评估 (FACT)-肾癌症状指数 (FKSI) 的经过验证的 15 个问题工具对肾癌最具特异性。FKSI-DRS(疾病相关症状)的一个子量表有九个肾癌特定问题,主题是精力不足、疼痛、体重减轻、骨痛、疲劳、呼吸急促、咳嗽、发烧和血尿。其他更通用的问卷存在并已用于肾细胞癌(RCC)临床试验,包括癌症治疗的功能评估一般 (FACT-G)、EuroQOL EQ-5D 和视觉模拟量表 (VAS) 。这些工具使调查人员能够评估生活质量;然而,包括问卷负担、不完整回答和定义真正具有临床意义的生活质量评分的最小差异在内的局限性仍然存在。

在转移性环境中一线舒尼替尼与干扰素-α 的 3 期注册试验中,FKSI、FKSI-DRS、FACT-G、EQ-5D 和 EQ-VAS 证明舒尼替尼在生活质量方面具有一致的有利差异这一发现可能归因于舒尼替尼有利的不良反应特征,与干扰素-α 相比疲劳较少,并且与干扰素-α (6%) 相比,舒尼替尼的疗效(31% 反应率)更高。

在比较一线舒尼替尼的 COMPARZ 临床试验中,使用 FKSI-19、慢性疾病治疗疲劳功能评估 (FACIT-F)、癌症治疗满意度问卷 (CTSQ) 和塞维利亚生活质量问卷 (SQLQ) 评估生活质量对比帕唑帕尼。在基线和每个治疗周期的第 28 天进行测量,这通常是舒尼替尼毒性最高的时间点(包括口腔、喉咙、手和脚的酸痛)。与服用舒尼替尼的患者相比,服用帕唑帕尼的患者的生活质量评分有所提高。

免疫检查点抑制剂也有生活质量分析报告。在 nivolumab 的 Checkmate 025 研究中使用 FKSI-DRS 评分,这些评分在基线和每 4 周进行一次,直到研究第 104 周,之后评估减少。与接受依维莫司治疗的患者相比,接受纳武单抗治疗的患者达到健康相关生活质量改善的中位时间(4.7 个月,95% CI 3.7–7.5)更短(未达到中位时间)。那些基线健康相关生活质量得分较高且随后有所改善的患者的总生存期长于基线相似但得分随后恶化的患者。最短的总生存期出现在那些基线评分较低但随后恶化的患者中。

 

 

外表

随着过去几十年肾细胞癌(RCC)分子生物学和管理的长足进步,人们将当前的知识和可用治疗时代描述为研究的“黄金时代”并非没有道理。如果我们要取得进一步进展,就需要在诊断、局部管理和全身治疗方面取得进展,以实现 >80% 的长期生存率,这可能定义肾癌研究和治疗的未来“钻石时代”(如图7). 目前显示出希望的领域包括制定治疗高危患者的策略、指导治疗的生物标志物以及预防和克服耐药性。

指导治疗的生物标志物

尽管广泛的临床结果可归因于肾细胞癌(RCC)中的肿瘤异质性,但基于个体肿瘤特征(所谓的精准医学)进一步改善临床结果的机会是一个新兴领域。鉴于 nivolumab、cabozantinib 和 lenvatinib 最近才获批,相关研究报道很少,目前 VEGF 和 mTOR 抑制剂的潜在生物标志物最有希望。

生物标志物的范围可以从临床参数(例如血压)和内源性物质(例如血浆蛋白)到特定于个体肿瘤的病理生物学特征(例如突变)。例如,作为一种靶向临床生物标志物,接受 VEGF 抑制剂治疗的患者的高血压(收缩压≥140mmHg)已被证明与更长的无进展生存期和总生存期相关。此外,许多研究已经研究了循环生物标志物,其中高水平的 IL-6、IL-8、肝细胞生长因子和骨桥蛋白与接受帕唑帕尼和舒尼替尼的患者较短的无进展生存期相关而高水平的乳酸脱氢酶与接受替西罗莫司但不接受干扰素-α 的患者的总生存期更好相关。

也开始研究遗传生物标志物与各种转移情况下治疗结果的关联。例如,RECORD-3 是一项大型随机 2 期试验 ( n = 471),表明舒尼替尼的一线疗效(无进展生存期为 10.7 个月)优于一线依维莫司(无进展生存期为 7.9 个月)。有趣的是,对参加 RECORD-3 的患者进行的基因组生物标志物分析表明,BAP1突变与一线舒尼替尼 8.1 个月的无进展生存期相关,而一线依维莫司与 5.5 个月无进展生存期相关——这是一个显着差异。相比之下,PBRM1突变显示没有这种关联,这与 VEGF 抑制剂异常值研究一致,需要进一步验证。BAP1突变与依维莫司的不良结果相关令人惊讶,因为据报道它们的 mTORC1 活性高于PBMR1突变肿瘤。此外,与依维莫司(9.8 个月)相比, KDM5C突变患者使用舒尼替尼(20.6 个月)的一线无进展生存期更长。由于在BAP1PBRM1KDM5C 的突变之间检测到互斥性,基于这三个基因的转移性 ccRCC 分子亚群在未来可能具有临床价值。此外,基于病例的 mTOR 抑制剂离群值研究认识到MTOR的激活突变和TSC1或 TSC2的双等位基因失活是长期反应者的潜在生物标志物。

高危患者的治疗与看护

相当数量 (~30%) 的非转移性疾病患者(基于初步诊断时的临床和病理评估)具有隐匿性转移,最终将在临床上变得明显。如何识别和更好地管理这些高危患者是泌尿科医生面临的主要挑战。当我们开始意识到普遍存在的肾细胞癌(RCC)突变(在PBRM1SETD2BAP1KDM5CPTENTP53中)对临床结果的影响时,将特定突变信息纳入预后列线图将变得越来越有用。例如转录签名如 ClearCode34 ,以及血液和尿液中的其他生物标志物,可能会被纳入经过验证的肾细胞癌(RCC)手术后复发预测生物标志物中。同样,预测对全身治疗的治疗反应可能是合理的,并将降低成本并改善肾细胞癌(RCC)癌症患者的护理。佳学基因检测基因解码提高了识别肾细胞癌(RCC)高危患者并制定基于多组学的个性化治疗和随访计划的能力,有望快速降低患者发生明显转移性疾病的发生率并实现长期生存。

新兴疗法和治疗变化

几种具有新作用机制的有前途的新药正处于临床试验的不同阶段。对于免疫疗法,ipilimumab(一种抗 CTLA-4 抗体)与 nivolumab 的组合在 Checkmate 016 试验中显示出约的显着反应率。此外,基于自体树突细胞的免疫疗法(包括在体外扩增患者自身的树突细胞,然后在重新输回患者体内之前引入肿瘤 RNA)与舒尼替尼相结合的疗效已得到检验并显示出早期前景。

在靶向治疗领域,已经开发出专门针对 HIF-2 的抑制剂。由于肾癌的特征是糖酵解异常(谷氨酰胺和色氨酸代谢异常),因此了解谷氨酰胺酶抑制剂 CB-839 -2,3-双加氧酶抑制剂当添加到现有疗法中时,可能会产生额外的临床益处。最后,由于这些新型治疗药物中的许多都可以调节患者的抗癌反应,因此进一步了解个体肾癌细胞与其各自的免疫微环境之间的复杂关系对于未来成功设计联合治疗以提高疗效至关重要。

随着对肿瘤生物学认识的加深和治疗选择的增多,未来治疗选择的方式无疑会发生变化(如图8)。除了已经讨论过的那些,高价值的潜在措施个性化疫苗接种、靶向放疗以增强抗肿瘤免疫反应和选择性细胞减灭性肾切除术对最初无法手术但后来在全身治疗后显示肿瘤明显缩小的患者进行。此外,新辅助或辅助免疫疗法或靶向疗法可以整合到当前的治疗算法中。

  【佳学基因检测】肾脏癌靶向药物基因检测(Kidney Cancer)
 

图 8:肾细胞癌的治疗流程

鉴于肾细胞癌 (RCC) 研究的进展,未来如何根据患者的个体肿瘤特征进行治疗可能会发生变化。

预防和克服耐药性

模型系统和临床经验表明,使用针对不同靶点的多种药物抑制肾细胞癌(RCC)活性优于单一药物方法。然而,这种方法往往会产生更多的毒性——在靶点和脱靶点。例如,舒尼替尼和依维莫司联合治疗转移性肾细胞癌(RCC)使患者遭受严重毒性。然而,贝伐珠单抗是一种比舒尼替尼更耐受的 VEGF 通路抑制剂,加上依维莫司耐受性良好,并且已被证明可有效治疗具有乳头状特征的 nccRCC 。多药治疗的成功依赖于对主要和次要(旁路)途径的有效和正确靶向。在 ccRCC 中,由于普遍的VHL丢失,VEGF 是主要途径;当考虑到可用的临床和临床前研究时,次要目标可以包括mTORC1  MET和 - ,但EGFR或PI3K通路

鉴于靶向治疗的可用性(如图7),紧迫的挑战是通过组合或排序药物来设计最有效和具体的治疗方案,以防止个体患者产生耐药性。有趣的是,最近一项针对在 PD-1 阻断剂初始治疗反应后复发的黑色素瘤患者的研究揭示了关于肿瘤细胞如何对免疫疗法产生耐药性的宝贵见解,包括干扰素受体信号传导和抗原呈递缺陷。由于免疫检查点抑制剂的功能独立于特定的致癌途径并产生不同的耐药机制,因此将这些药物与靶向治疗相结合具有重要的临床意义并且理论上可以防止任一代理出现逃逸机制。


(责任编辑:admin)
顶一下
(1)
100%
踩一下
(0)
0%
来了,就说两句!
请自觉遵守互联网相关的政策法规,严禁发布色情、暴力、反动的言论。
评价:
表情:
用户名: 验证码: 点击我更换图片

Copyright © 2023-2035 国际遗传病基因检测协会

设计制作 基因解码基因检测信息技术部