【基因检测案例】卵巢早衰7型致病基因鉴定基因解码及其个性化的调理
遗传病、罕见病基因检测导读:
女性的生育能力受多种因素的影响,卵巢早衰是其中的一大类疾病。一种生殖系统发育障碍的女性患者经过基因解码发现是卵巢早衰7型,经过佳学基因解码,不仅找到了疾病根源,同时也帮助了家里的其他人,为个性化治疗提供了充分的使用方依据。
病情介绍
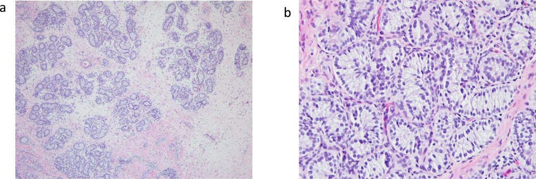
2019年8月15日,患者鲁健芳(化名)经三甲医院推荐来到佳学基因做致病基因鉴定基因解码。根据病情描述,患者就诊时46岁,出生时生殖器模糊不清,从小就被当做女性抚养,但长期不育。她以前没有做过手术。她在3岁经儿科医生诊断发现有明显的阴蒂肥大(2.5厘米长,1.1厘米宽),没有可触及的性腺。她的肛门生殖比为0.5,大阴唇呈皱纹状。医生怀疑是先天性肾上腺增生症(CAH)。但是肾上腺激素和前体的基础水平正常,刺激后水平正常。超声和核磁共振成像发现子宫,长2.0×0.7×0.39厘米。可能有腹部性腺,卵圆形的性腺结构位于骨盆和腹股沟区的交界处,左侧为0.81×0.69×0.6厘米,右侧为1.1×0.7×0.6厘米。左侧的结构至少包含两个囊状结构,可能是卵泡。生殖科大夫进一步检查患者是否存在睾丸组织,测定AMH的浓度并进行hCG刺激试验。AMH为6.48 ng/ml,基线血清总睾酮为2ng/dL(转换系数为nmol/L:0.0347)。每天肌注hCG 1500单位刺激3天后,睾酮上升到38.9 ng/dL。说明体内存在睾丸激素生成组织,腹腔镜检查,发现双侧性腺结构似乎是卵睾结构。从两个性腺切除睾丸样物质,病理学显示睾丸组织发育不良,没有精子细胞。染色体分析未能发现病因,呈现出46,XX核型。

a:中倍放大,显示睾丸样组织存在生精小管;b:高倍方大后,显示生精小管内没有精子细胞
佳学基因致病基因鉴定基因解码
患者在当地采用紫色EDTA抗凝采血管,由护士上门采集3ml血液。佳学基因未做疾病假设,进行全外显子致病基因鉴定基因解码,发现患者体内共存在89762个基因突变位点,其中在NR5A1中发现了一种极为罕见的错义变异,NR5A1是一种与人体的性别发育有关的基因。患者体内存在c.275G>C,p.Arg92Pro。经过进一步分析,证明该基因是从先证者的父亲遗传而来的。患者的父亲生育有两个孩子。该突变在此之前,不存在于任何数据库,此前在多个机构进行检测,未找到明确的致病基因。经基因解码表明,该突变影响了蛋白质的结构与功能是导致患者出现疾病征状的致病基因突变。
致病基因来源分析

部分是患者的一代测序结果.C*是突变位点。患者出现了G>C突变。所示结果为非意义链的测序序列。
NR5A1长什么样的?
NR5A1是一个蛋白质编码基因,编码核受体亚家族5组A成员1。基因突变可以造成46,Xy性反转3型和46,Xx性反转4型。通过参与多能干细胞的转录调节和醛固酮的合成和分泌发挥生理功能。为固醇类激素生成组织的形成和分化所必须(参考文献:27378692),通过结合在类固醇激素合成基因P450基因(如CYP11A、CYP11B和CYP21B)启动子区域的Ad4位点,从而调节其活性。调节AMH/Muellerian抑制物质基因以及AHCH和STAR基因。5'-YCAAGGYC-3'和5'-RRAGTCA-3'是NR5A1识别的一致序列(参考文献:27378692). SFPQ-NONO-NR5A1复合物与CYP17启动子结合,调节基础转录活性和环磷酸腺苷依赖性转录活性。结合磷脂酰胆碱(相似)。与磷脂与磷脂酰肌醇(PI)头群结合,特别是PI(3,4)P2和PI(3,4,5)P3。HIPK3激活NR5A1磷酸化,在cAMP信号通路刺激下,激素基因表达增加。佳学基因通过分析NR5A1基因突变后对分子结构与功能的影响,从而建立了基因解码分析法,可以突破数据库极限,实现更高的检出率、更准确的检测分析效果,下面是NR5A1的晶体结构图,供参考。

NR5A1突变引起的疾病该怎么治疗?
1、针对疾病发生的病理过程设计寻找治疗药物;
2、采用基因矫正后的干细胞治疗可以产生良好的效果。
(责任编辑:admin)