【佳学基因检测】巨大毛母质瘤的基因检测案例
皮肤科基因检测导读:
《人体良性与恶性肿瘤的区分与基因检测》指出,毛母质瘤(Pilomatricoma)是一种良性肿瘤,起源于表皮的原始基底细胞,分化为毛母质细胞。 编码 β-连环蛋白(一种参与毛发生长的蛋白质)的 CTNNB1 基因突变在毛母质瘤的发展中起着致病基因突变的作用。 一名 34 岁的女性在右侧腮腺区域出现肿块,接受了切除活检。 肿块被最终诊断为毛母质瘤。 怀孕期间,肿块直径从1厘米长到5厘米,并伴有疼痛和压痛。 雌激素和孕激素的产生增加可能促进了生长,雌激素和孕激素与位于毛囊外根鞘细胞中的受体结合。 随访6个月未见复发。
毛母质瘤基因检测介绍:
根据《皮肤科肿瘤的诊断鉴别方法》,毛母质瘤是一种良性皮肤肿瘤,起源于毛囊的外根鞘细胞。 尽管毛母质瘤可发生在任何年龄,但主要发生在婴儿期、青春期和 60 岁及以后。 它在女性中比在男性中更常见,在高加索人中比在亚洲人中更常见。 毛母质瘤临床表现为惰性、孤立性、无症状、质地坚硬、肤色或淡蓝色的肿块,平均直径为 1 厘米。 在极少数情况下,病变的大小超过 5 厘米; 这种肿瘤被归类为巨大的毛母质瘤。 为皮肤科肿瘤基因检测提供科学依据的基因解码表明编码 β-连环蛋白(一种参与毛发生长的蛋白质)的 CTNNB1 基因突变在毛母质瘤的病因学中起着重要作用。 佳学基因检测还发现,外伤和性激素失衡也会影响此类肿瘤的生长。 手术切除是毛母质瘤的首选治疗方法,复发率低。
毛母质瘤基因检测案例描述
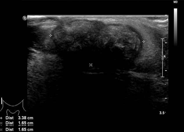
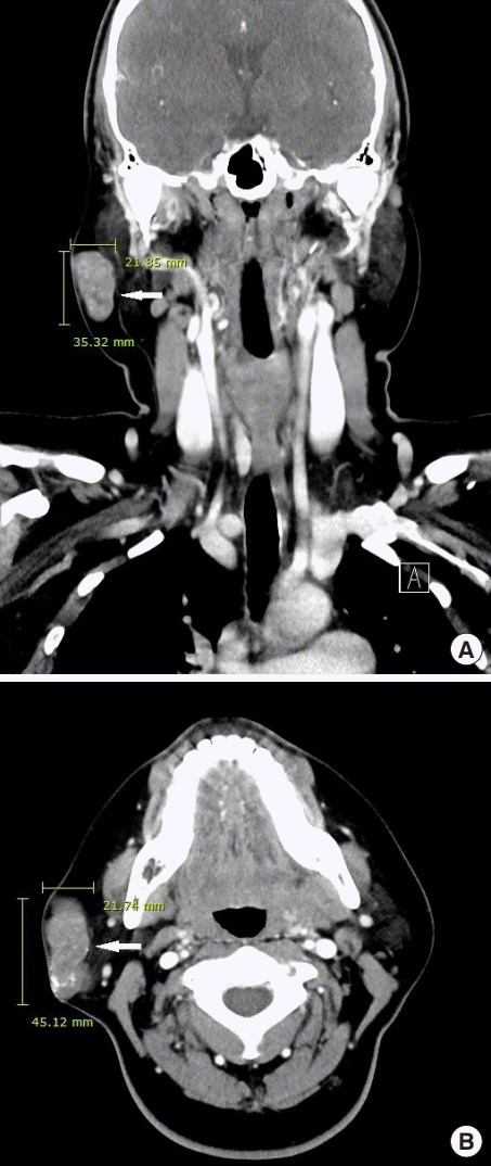
诊断时为35岁的张雨绮(女,化名)右侧腮腺区有肿块,就诊于佳学基因检测合作医院的整形外科。 肿块直径约 1 cm,张雨绮因无临床症状而拒绝手术切除。 然而,在怀孕的中晚期,肿块的大小增加到 5 厘米(图 1),并且变得疼痛。 分娩后肿块停止生长。 触诊肿块时,患者报告疼痛从腮腺区放射至耳后区。 病灶摸起来温暖、坚硬、淡蓝色和分叶状。 由于临床症状加重,患者同意接受手术切除肿块。





佳学基因毛母质瘤基因检测案例讨论
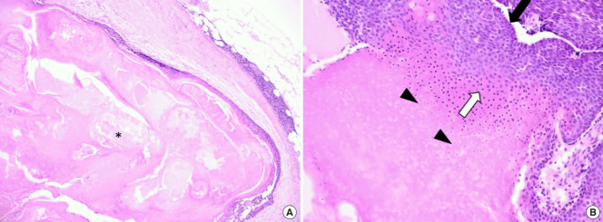
毛母质瘤是一种良性皮肤肿瘤,起源于分化为毛母质细胞的表皮原始基底细胞。 大多数毛母质瘤的直径约为 1 厘米,而直径为 5 厘米或以上的则被归类为巨大毛母质瘤。 头颈部毛母质瘤的鉴别诊断包括皮脂腺囊肿、骨化性血肿、鳃残余、耳前窦、淋巴结肿大、巨细胞瘤、软骨瘤、皮样囊肿、退化性纤维黄瘤、异物反应、皮肤骨瘤。 准确诊断毛母质瘤需要放射影像学和组织病理学检查。 其组织病理学特征包括外围的细胞簇(包括有核基底样细胞)和中心的无核影细胞(也称为“鬼细胞”)呈圆形排列。 巨大的毛母质瘤通常与外伤有关,并且有时会在外伤事件后观察到溃疡或坏死组织物质的局灶性经表皮消除。
在本报告中,我们描述了一名 34 岁女性在右侧腮腺区域患有巨大毛母质瘤的病例。 最初发现肿块时,直径为 1 厘米,无症状。 然而,在患者怀孕期间,肿块长至 5 厘米并出现症状。 患者称,最初检测到肿块后右侧腮腺区域未发生外伤。
怀孕期间会发生显着的性激素变化。 在妊娠早期,黄体酮、雌激素和人绒毛膜促性腺激素 (hCG) 水平升高。 hCG 水平在 8-11 周急剧下降,而雌激素和黄体酮水平在妊娠中期继续增加。 雌激素和黄体酮水平在妊娠晚期仍然升高,在 23 周时达到峰值。 特别是,妊娠晚期的雌激素水平大约是怀孕前的六倍。
孕期性激素分泌增多,可促进毛母质瘤的生长。 雌激素受体 (ER) 和孕激素受体 (PR) 在毛囊的外根鞘细胞中表达,毛母质瘤起源于此。 因此,ER和PR可在毛母质瘤中表达。 升高的雌激素和孕激素水平转化为与 ER 和 PR 的更高结合能力,从而促进毛囊的生长。 而且,妊娠本身可以促进肿瘤生长。 怀孕期间激活的淋巴细胞表达 PR,导致孕酮诱导阻断因子 (PIBF) 的表达,PIBF 通过局部抑制抗肿瘤免疫反应促进肿瘤生长。
在本例中,一名 34 岁的患者在妊娠的第二个和第三个三个月长出了一个先前存在的毛母质瘤。 在肿块形成后,没有可能导致肿瘤生长的外伤。 因此,由于怀孕期间雌激素和孕激素的产生增加,肿瘤可能已经长大。 怀孕期间 PIBF 的表达也可能促进肿瘤生长。 根据我们对这个病例的经验,我们认为早期切除孕妇毛母质瘤可以防止肿瘤生长。
(责任编辑:admin)